반응형

2025/05/31 32

학교에서 발생한 충격적인 사건: 중학생의 폭력, 교사의 갈비뼈 골절

학교 체육 수업에서 벌어진 충격적인 사건최근 수원의 한 중학교에서 체육 수업 중 발생한 폭력 사건이 큰 논란을 일으키고 있습니다. 해당 사건은 50대 교사에게 중학생이 야구방망이를 휘둘러 갈비뼈를 골절시키는 끔찍한 상황을 초래했습니다. 피해자인 B 씨는 현재 인근 병원에서 치료를 받고 있으며, 그의 부상이 얼마나 심각한지에 대한 우려가 커지고 있습니다. 이 사건은 단순한 학생의 장난이 아니라, 학교 내에서의 폭력 문제를 다시 한번 조명하는 계기가 되고 있습니다. A 군, 경찰에 입건된 이유는?경기 수원남부경찰서에 따르면, 10대 A 군은 특수상해 혐의로 경찰에 입건되어 조사 중입니다. A 군은 수업 도중 교사에게 여러 차례 야구방망이를 휘둘렀으며, 이 과정에서 B 씨가 심각한 부상을 입었습니다. 경..

이슈 2025.05.31

중국인 관광객의 변화, 소비 트렌드의 이면

관광객 수 증가, 소비는 감소최근 방한 외국인 관광객이 급증하고 있습니다. 올해 1~4월 동안 558만명의 외국인 관광객이 한국을 방문했으며, 이는 지난해 동기 대비 1.8% 증가한 수치입니다. 특히 중국인 관광객은 157만명으로, 일본과 대만을 제치고 가장 많은 수를 기록했습니다. 그러나, 이러한 관광객 수의 증가에도 불구하고 소비는 줄어드는 아이러니한 상황이 발생하고 있습니다. 코로나19 이후 개별 여행객의 증가로 인해 소비 패턴이 변화하고 있으며, 면세점 매출은 급감하고 있습니다. 예를 들어, 외국인 대상 면세점 매출은 2019년 40억9000만 달러에서 올해 15억9000만 달러로 줄어들었습니다. 이러한 상황은 관광업계에 희비가 갈리는 원인이 되고 있습니다. 호텔 및 리조트 업계의 호황방한 ..

이슈 2025.05.31

김혜자와 류덕환, 세대를 초월한 아름다운 우정의 이야기

김혜자, 나이를 초월한 매력의 아이콘김혜자 선생님은 어려움이 느껴질 수 없는 분이에요. 류덕환 배우가 이렇게 밝히며 깊은 존경심을 표현한 것처럼, 그녀는 단순한 배우가 아닙니다. 64년의 경력을 가진 김혜자는 세대를 초월한 매력을 지닌 인물로, 드라마 '천국보다 아름다운'에서 80세의 모습으로 등장해 또 한 번의 감동을 선사했습니다. 이 드라마는 김혜자가 이해숙 역할을 맡아 천국에서 젊어진 남편과 재회하는 이야기로, 많은 시청자들에게 감동을 주었습니다. 그녀의 연기는 관객들에게 깊은 여운을 남기며, 류덕환은 그녀와의 재회에 대해 '과거의 잊힌 기억일 수 있으니까'라고 말하며 감정적인 연결을 느꼈다고 전했습니다. 류덕환, 김혜자와의 특별한 인연이번 드라마에서 류덕환은 김혜자와의 재회를 통해 많은 성장..

연예 2025.05.31

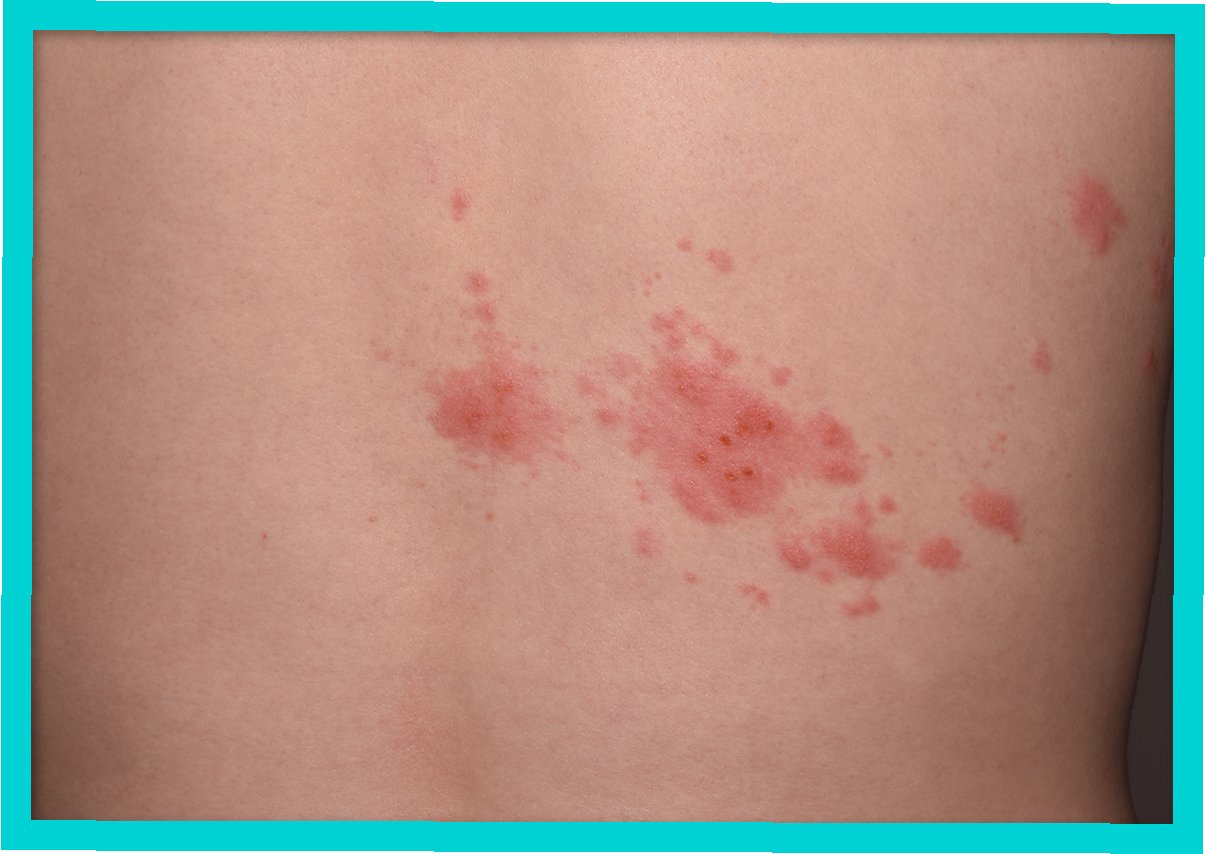
대상포진, 당신도 걸릴 수 있다! 통증과 수포의 경고 신호

대상포진, 누구에게나 일어날 수 있는 질병대상포진은 허리띠 모양의 수포가 생기는 질병으로, 한국에서의 발생률은 1000명당 10.4명에 달합니다. 특히 여성은 남성보다 1.5배 더 많이 걸리며, 평생 유병률은 약 30%에 이릅니다. 이는 3명 중 1명꼴로 대상포진에 걸릴 수 있다는 것을 의미합니다. 가톨릭대 대전성모병원의 김응돈 교수는 대상포진의 주요 위험군으로 50세 이상의 성인과 만성 질환을 앓고 있는 이들을 지목했습니다. 면역력이 약해지면 바이러스가 활성화되어 대상포진이 발생할 수 있습니다. 대상포진의 전조증상, 놓치지 마세요대상포진의 전조증상으로는 찌르는 듯한 통증과 가려움증이 있으며, 이는 피부 병변이 나타나기 전 2~3일에서 1주일까지 지속될 수 있습니다. 이 시기에는 진단이 어려운 경우..

이슈 2025.05.31

당뇨 환자에게 효과적인 김, 자취생의 간편한 건강식으로 주목받다!

김의 놀라운 건강 효과최근 연구에 따르면, 일상에서 쉽게 접할 수 있는 '김'이 당뇨 환자에게 효과적이라는 전문가의 설명이 나왔습니다. 정세연 한의학 박사는 유튜브 채널 '정세연의 라이프연구소'에서 김의 효능을 강조하며, 김에는 칼륨, 칼슘, 마그네슘, 인 등의 미네랄과 비타민 A·B·E군이 다량 함유되어 있다고 밝혔습니다. 특히, 수용성 식이섬유인 '포피란(Porphyran)'은 콜레스테롤 수치를 낮추고 동맥경화 및 고혈압 예방에 도움을 줍니다. 이는 당뇨 환자에게 건강 관리의 필수 요소로 자리 잡을 수 있습니다. 김의 단백질 함량과 칼로리김은 저칼로리 식품임에도 불구하고 단백질 함량이 상당히 높습니다. 김 100g당 단백질 함량은 약 36%로, 소고기보다도 높은 수치입니다. 이는 자취생들에게 간..

이슈 2025.05.31

강경준의 불륜 의혹 속 장신영, 엄마와의 따뜻한 순간들

장신영과 엄마의 소중한 합가 이야기최근 방송된 KBS 2TV ‘신상출시 편스토랑’에서 장신영은 친정엄마와의 일상을 공개했습니다. 그녀는 남편 강경준의 불륜 의혹으로 힘든 시간을 보내고 있지만, 엄마와의 합가로 새로운 힘을 얻고 있습니다. 장신영의 친정엄마는 딸을 위해 정성 가득한 음식을 준비하며 위로를 아끼지 않았습니다. 방송에서 장신영은 ‘김장을 1년에 5번은 하는 것 같다’고 밝히며, 엄마의 김치 자부심을 자랑했습니다. 그녀의 친정엄마표 김치는 주변 사람들 사이에서도 유명한 맛으로, 장신영은 지금까지 직접 김치를 담근 적이 없다고 전했습니다. 이는 모녀의 특별한 유대감과 가족의 사랑을 잘 보여줍니다. 모녀의 따뜻한 요리 시간장신영과 친정엄마는 함께 요리하는 시간을 가지며 즐거운 대화를 나누었습니..

연예 2025.05.31

상간녀의 신음소리 녹음, 법적 보호를 받지 못한 이유는?

상간 소송의 새로운 쟁점최근 법원에서 상간녀가 남편의 부정행위로 인한 손해배상 청구 소송에서 '신음소리 녹음은 통신비밀보호법 위반'이라고 주장했지만, 법원은 이를 인정하지 않았습니다. 대전지법 서산지원 나우상 부장판사는 '신음소리는 보호 대상 대화가 아니다'라고 판결하며, 상간녀 B씨가 A씨에게 2500만원을 지급하라는 결정을 내렸습니다. 이 사건은 남편과 B씨의 관계가 법적으로 어떤 의미를 가지는지를 다시 생각하게 만드는 사례로, 많은 이들의 관심을 받고 있습니다. 법원의 판결과 그 배경법원은 B씨가 A씨의 남편과의 부정행위에 대해 명백한 증거가 있음에도 불구하고 비합리적인 변명을 일관했다고 판단했습니다. 이를 통해 법원은 상간녀가 남편의 불륜을 알고 있었음에도 불구하고 그 행동을 정당화할 수 없..

이슈 2025.05.31

의료수가 인상! 내년 진료비와 건강보험료도 오른다

의료수가 인상, 의미는?국민건강보험공단이 발표한 바에 따르면, 내년도 평균 의료수가가 1.93% 인상됩니다. 이는 의료기관에 지급되는 수가가 증가하는 것을 의미하며, 환자가 내는 진료비와 건강보험료에도 직접적인 영향을 미칠 것으로 예상됩니다. 특히, 7개 의약 단체와의 협상 결과, 올해와 비교해 평균 환산지수 인상률이 소폭 낮아졌지만, 병원과 의원에 대한 상대가치 몫을 추가로 증가시켜 보상 체계를 더욱 공정하게 조정한 것으로 보입니다. 이러한 조치는 환자들에게도 영향을 미치며, 의료 서비스의 질 향상에 기여할 것입니다. 환산지수 인상률, 세부 내역은?내년도 요양기관 유형별 환산지수 인상률은 병원 2.0%, 의원 1.7%, 치과 2.0%, 한의 1.9%, 약국 3.3%, 조산원 6.0%, 보건기관 2..

이슈 2025.05.31

손흥민, 사우디 오일머니의 유혹과 토트넘의 선택

손흥민, 축구 역사에 남을 기회손흥민(33, 토트넘 홋스퍼)이 대한민국 축구 역사에서 가장 높은 연봉을 받을 가능성이 커지고 있습니다. 최근 영국 언론 '더 선'에 따르면, 사우디아라비아의 복수 구단이 손흥민을 차기 영입 대상으로 검토하고 있다고 합니다. 크리스티아누 호날두의 이적 가능성이 제기되면서, 손흥민이 그 후계자로 떠오르는 상황입니다. 이와 함께 토트넘도 손흥민에 대한 거액의 이적 제안이 들어올 경우 매각할 계획을 세우고 있습니다. 이는 다음 시즌 UEFA 챔피언스리그 출전을 위한 자금 확보를 위한 전략으로 보입니다. 사우디 리그의 매력과 손흥민의 연봉사우디아라비아 리그는 자본력이 뛰어난 리그로, 유럽의 스타 선수들이 이적하는 경향이 뚜렷해졌습니다. 특히, 호날두가 알 나스르에 합류한 이후..

스포츠 2025.05.31

도심에서 벌어진 충격적인 배달기사 폭행 사건의 전말

폭행 사건의 발생최근 충북 청주에서 발생한 배달기사 폭행 사건은 많은 이들에게 충격을 주고 있습니다. 한 남성이 아무런 경고 없이 길가에 세워진 배달용 오토바이를 발로 차 넘어뜨린 후, 항의하던 배달 기사에게 무차별적인 폭행을 가한 것입니다. 제보자에 따르면, 이 남성은 우산을 휘두르며 배달 기사를 위협했고, 주먹과 발길질로 이어지는 폭력 행위를 멈추지 않았습니다. 이 사건은 CCTV에 포착되어 더욱 큰 논란을 일으키고 있습니다. 피해자의 고통폭행 후, 배달 기사는 인근 건물로 피신했지만, 남성은 그를 따라 들어가 계속해서 폭행을 이어갔습니다. 이로 인해 배달 기사는 전신 타박상을 입었으며, 의료진으로부터 3주간의 치료가 필요하다는 진단을 받았습니다. 심리적으로도 큰 충격을 받은 그는 생계 유지를 ..

이슈 2025.05.31

대법원의 정보공개 청구 비공개 결정, 이재명 사건의 이면

정보공개 청구와 대법원의 비공개 결정대법원이 이재명 더불어민주당 대선 후보의 사건 로그 기록 정보 공개 청구에 대해 비공개 통지를 내린 것은 정보공개법에 따른 결정입니다. 사건이 진행 중인 만큼, 공개할 경우 재판받을 권리를 침해할 수 있다는 이유로 비공개를 선택한 것입니다. 대법원 관계자는 이러한 결정이 법률상 정당하다고 설명했으며, 이는 국민들의 궁금증을 더욱 증폭시키고 있습니다. 특히, 6만 쪽에 달하는 사건 기록을 대법관들이 검토했는지에 대한 논란이 계속되고 있습니다. 이와 관련하여, 2만 건이 넘는 정보 공개 청구 신청이 접수된 상황입니다. 이 사건을 통해 공공기관의 정보공개법에 대한 이해가 필요하다는 점이 강조됩니다. 비공개 결정의 법적 근거와 그 의미대법원이 정보공개 청구를 비공개로 결..

이슈 2025.05.31

드라마 '더글로리'의 명소, 청주 공원에서 벌어진 도박 사건

청주 공원, 드라마에서 도박판으로 변신최근 충북 청주 중앙공원이 드라마 '더글로리'의 촬영지로 유명해진 이후, 예상치 못한 사건에 연루되었습니다. 이 공원은 송혜교 배우가 바둑 과외를 받던 장소로, 드라마의 인기로 많은 관광객이 방문하고 있습니다. 그러나 이곳에서 윷놀이를 가장한 도박판이 벌어졌다는 소식이 전해졌습니다. 경찰에 따르면, 도박판에서 5명이 붙잡혔으며 판돈이 무려 110만원에 달했다고 합니다. 이 사건은 공원의 평온함을 깨뜨린 아이러니한 상황을 보여줍니다. 드라마의 인기와 그 이면드라마 '더글로리'는 그 자체로 큰 인기를 끌며, 해외 관광객들까지 청주를 찾아오게 만들었습니다. 이곳은 바둑을 두는 장면으로 유명해졌지만, 최근에는 도박판으로서의 이미지가 더 부각되고 있습니다. 드라마의 성공..

이슈 2025.05.31

손흥민과 다니엘 레비의 상반된 꿈, 유럽을 향한 갈망과 사우디의 유혹

손흥민, 유럽 무대에서의 꿈을 향해손흥민 선수는 유럽축구연맹(UEFA) 유로파리그(UEL) 우승을 거머쥐며, 이제 다음 목표는 챔피언스리그(UCL) 복귀입니다. 그는 지난 시즌 중 토트넘과 1년 계약 연장 옵션을 발동해 2026년까지 계약을 연장했지만, 그 이후로 여러 빅클럽과 이적설이 돌고 있습니다. 특히 바이에른 뮌헨과 맨체스터 유나이티드 같은 팀들이 그의 영입에 관심을 보이며, 유럽 리그에서의 활약을 계속 이어가고 싶어하는 손흥민의 의지를 강화하고 있습니다. 손흥민은 사우디 리그로의 이적에 대해 '가고 싶지 않다'는 의사를 전했으며, 이는 그가 유럽에서의 커리어를 계속 이어가고 싶다는 강한 열망을 나타냅니다. 다니엘 레비 회장의 상반된 목표반면, 토트넘의 다니엘 레비 회장은 손흥민을 높은 이적..

스포츠 2025.05.31

서울 부동산 시장, 강남 3구와 양천구의 신고가 행진

서울 집값 상승세의 중심, 강남 3구와 양천구최근 서울에서는 강남 3구(강남, 서초, 송파)와 양천구에서 신고가 거래가 연이어 발생하고 있습니다. 특히 재건축 추진 단지들이 많은 이 지역들은 서울 집값 상승의 주역으로 떠오르고 있습니다. 한국부동산원의 자료에 따르면, 5월 넷째 주 서울의 아파트 매매가는 전주 대비 0.16% 상승하였으며, 이는 17주 연속 상승세를 기록한 것입니다. 전문가들은 이러한 상승세가 금리 인하와 입주 물량 부족 등의 요인과 함께 '똘똘한 한 채' 선호 현상에 의해 더욱 강화되고 있다고 분석하고 있습니다. 신고가 거래의 증가, 서울의 재건축 시장서울 내 재건축 시장은 특히 강남구의 압구정과 대치동, 송파구의 잠실과 신천동에서 활발히 진행되고 있습니다. 예를 들어, 최근 강남..

이슈 2025.05.31

주차 문제, 소음, 흡연… 아파트 민원 1위는 무엇인가?

아파트 민원의 주된 원인, 주차 문제아파트 생활에서 가장 많은 불만을 차지하는 문제는 주차 문제입니다. 최근 분석된 데이터에 따르면, 아파트 입주민들이 가장 큰 불편을 호소하는 이유는 바로 주차공간의 부족으로, 전체 민원의 33%를 차지합니다. 이는 지난 해보다 4%포인트 증가한 수치로, 사례로는 이중주차와 외부 차량의 불법 주차 등이 포함됩니다. 아파트 단지 내에서의 주차 문제는 단순한 불편함을 넘어 입주민 간의 갈등을 유발할 수 있는 요소로 작용하고 있습니다. 소음 문제, 예상보다 심각하다두 번째로 많은 민원은 소음 문제로, 전체의 20%를 기록했습니다. 이는 층간소음뿐만 아니라 인테리어와 공사로 인한 소음, 벽간소음 등 다양한 형태로 나타나고 있습니다. 특히, 소음 문제는 입주민의 생활 질을 ..

이슈 2025.05.31

유시민 발언 논란, 여성 비하와 사회적 갈등의 아이콘이 되다

유시민의 논란, 왜 이렇게 큰 파장을 일으켰나?유시민 작가가 설난영 여사를 겨냥한 발언으로 큰 논란을 일으켰습니다. 그는 '자신 인생에선 대통령 후보 배우자가 갈 수 없는 자리라 제정신이 아니'라는 발언을 했는데요, 이 발언은 단순한 개인의 의견이라기보다는 더 깊은 사회적 맥락을 내포하고 있습니다. 특히 많은 이들이 이 발언을 남성우월주의와 학력우월주의, 계급주의의 산물로 보고 비판하고 있는 상황입니다. 예를 들어, 이인선 선대위 여성본부장은 이를 저급한 막말로 간주하며, 부인이 남편의 지위에 따라 그 가치가 결정되는 것이냐고 반문했습니다. 이러한 발언은 단순히 개인의 생각을 넘어 사회 전반의 성평등 문제까지 촉발하고 있습니다. 정치권의 반응, 유시민 발언에 대한 다양한 시각정치권에서도 유시민 작가..

이슈 2025.05.31

간호사 류하은, 사랑의 사명으로 요양병원에서 새 길을 걷다

사랑으로 환자를 지키는 간호사간호사 류하은(29)씨는 서울의 한 요양병원에서 중환자실 간호사로 근무하며, 환자들에게 사랑을 전하는 일을 사명으로 여깁니다. 그는 ‘사랑하는 게 사명’이라는 신념으로, 힘든 교대 근무 속에서도 환자 곁에서 미소를 잃지 않고 있습니다. 그의 인스타그램 계정 ‘하묵’은 4만8000명의 팔로워를 자랑하며, 병동에서의 따뜻한 순간과 삶의 단상을 공유하고 있습니다. 류씨는 “말 한마디, 손 한번 잡는 행동에도 마음이 전해질 수 있다는 걸 간호 현장에서 배웠다”고 전하며, 환자와의 소통을 소중히 여깁니다. 요양병원으로의 결단서울의 유명 대학병원에서 근무했던 류하은씨는, 고된 일상 속에서 ‘퇴사를 꿈꿨다’고 고백합니다. 그는 안정된 월급과 이름값을 내려놓고 요양병원으로 향하는 결단..

이슈 2025.05.31

일본 주장 엔도 와타루, 월드컵에서 아르헨티나와 잉글랜드를 상대하고 싶다!

일본 축구의 야망을 보여주는 엔도 와타루일본 축구대표팀 주장 엔도 와타루(32)는 내년 북중미 월드컵에 대한 강력한 의지를 내비쳤습니다. 그는 "강팀과 맞붙고 싶다"는 열망을 드러내며, 특히 아르헨티나와 잉글랜드를 언급했습니다. 아르헨티나는 전 대회 우승국으로서의 위엄을 지니고 있으며, 잉글랜드는 그의 현재 팀이기도 하죠. 엔도는 강팀을 꺾는 것에 매력을 느낀다고 강조하며, 지난 2022 카타르 월드컵에서도 일본이 독일과 스페인을 연달아 이긴 것을 언급해 자신감을 보였습니다. 2022 카타르 월드컵의 의미지난 월드컵에서 일본은 조별리그에서 독일과 스페인을 꺾으며 큰 이변을 일으켰습니다. 엔도는 이 과정에서 중요한 역할을 하였고, 일본은 조 2위로 16강에 진출했습니다. 그러나 크로아티아와의 승부차기..

스포츠 2025.05.31

서울 지하철 방화 사건, 승객 400여명 대피와 60대 용의자 체포

서울 지하철 5호선에서 발생한 방화 사건최근 서울 지하철 5호선에서 발생한 방화 사건은 많은 승객들에게 큰 충격을 안겼습니다. 이날 오전, 여의나루역과 마포역 사이의 지하철에서 화재가 발생하였고, 약 400명의 승객이 긴급하게 터널로 대피해야 했습니다. 현장에서 21명이 연기 흡입 및 발목 골절 등의 부상을 입어 병원으로 이송되었습니다. 이 사건은 지하철 안전에 대한 경각심을 더욱 높이는 계기가 되었습니다. 신속한 대처로 인명 피해 최소화화재 발생 후, 열차 기관사와 일부 승객이 소화기로 불길을 잡으려 노력했습니다. 소방 당국은 166명의 인력과 68대의 소방 장비를 동원하여 신속하게 화재를 진압했습니다. 다행히 대형 인명 피해는 발생하지 않았지만, 승객들의 안전을 위한 긴급 대응이 얼마나 중요한지..

이슈 2025.05.31

시민의 절규와 계엄군의 갈등, 역사적 재판의 현장

법정 417호에서의 역사적인 재판매주 월요일, 서울 서초구 법원종합청사 417호 대법정에서는 불법 계엄 선포로 파면된 윤석열 전 대통령에 대한 재판이 진행됩니다. 이곳은 대한민국의 역사적인 재판이 열린 장소로서, 전두환, 노태우, 박근혜, 이명박 등 전직 대통령들도 거쳐 간 곳입니다. 경향신문은 이 대법정에서 내란 우두머리 혐의로 기소된 윤석열 전 대통령을 포함한 전·현직 군경 관계자들의 재판 과정을 생생히 기록하고 있습니다. 이 재판은 전 국민을 혼돈과 충격으로 몰아넣었던 계엄의 밤을 재구성하는 중요한 작업입니다. 계엄군의 지시와 혼란지난해 12월3일, 이상현 전 육군 특수전사령부 1공수여단장은 북한의 도발이 계엄 선포의 원인이라고 믿었습니다. 그러나 계엄이 선포되고 곽종근 전 특전사령관의 지시를..

이슈 2025.05.31
반응형