반응형

예방접종 6

독감 공포 엄습! 겨울 오기 전, 지금 바로 예방접종 서두르세요!

독감 확산, 심상치 않은 조짐최근 독감 환자가 급증하면서, 우리 사회에 경고등이 켜졌습니다. 질병관리청의 발표에 따르면, 10월 말부터 11월 초까지 독감 의심 환자가 무려 67.6%나 증가했습니다. 특히 7~12세 어린이 환자 급증은 심각한 상황을 보여줍니다. 유행 기준의 7.5배에 달하는 수치는, 어린 자녀를 둔 부모님들의 불안감을 증폭시키고 있습니다. 이처럼 심상치 않은 독감 확산세는, 우리 모두에게 경각심을 일깨우며, 적극적인 예방의 중요성을 강조하고 있습니다. 지금 이 순간에도, 독감은 우리 곁에 바싹 다가와 있습니다. 지금이 바로 '골든타임', 예방접종의 중요성질병관리청은 본격적인 겨울철을 앞두고, 지금이 호흡기 감염병 예방접종의 적기라고 강조합니다. 독감은 단순히 감기와는 차원이 다른 ..

이슈 2025.11.09

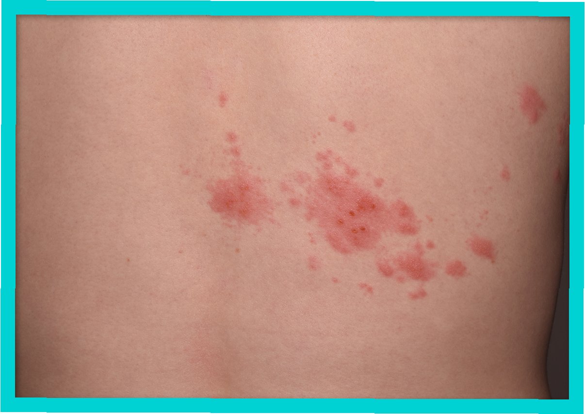
여행의 설렘 뒤에 숨겨진 위험: 휴가철, 홍역으로부터 안전하게!

해외여행, 즐거움 뒤에 숨겨진 그림자휴가철을 앞두고 많은 이들이 해외여행을 계획하며 설렘에 부풀어 있습니다. 하지만, 즐거운 여행의 이면에는 예상치 못한 위험이 도사리고 있을 수 있습니다. 최근, 해외여행 후 홍역에 걸리는 사례가 증가하며 주의가 요구되고 있습니다. 질병관리청의 발표에 따르면, 올해 국내 홍역 환자 중 해외 유입 사례가 작년 동기간 대비 1.4배 증가했으며, 특히 베트남을 방문한 여행객들 사이에서 높은 발병률을 보이고 있습니다. 이러한 현실은 개인 위생 관리의 중요성을 다시 한번 강조하며, 여행 전 꼼꼼한 준비의 필요성을 시사합니다. 홍역, 낯선 질병이 아니다홍역은 공기 전파가 가능한 전염성이 매우 강한 호흡기 감염병으로, 발열, 발진, 기침, 콧물, 결막염 등의 증상을 동반합니다...

이슈 2025.07.15

코로나19 재확산, 고위험군 백신 접종 필수!

코로나19, 다시금 고개를 들다최근 인접 국가인 중국, 태국, 싱가포르에서 코로나19 환자가 증가하면서 한국 방역당국이 경각심을 일깨우고 있습니다. 질병관리청은 고위험군인 65세 이상 어르신 및 면역 저하자들에게 백신 접종을 강력히 권고하고 있습니다. 이들은 코로나19 확산에 가장 취약한 그룹으로, 예방접종을 통해 자신과 주변의 건강을 지킬 수 있는 중요한 단계입니다. 현재 국내는 비교적 안정세를 보이고 있으나, 이와 같은 국제적 환경 변화에 따라 여름철 유행 가능성을 염두에 두어야 합니다. 고위험군, 예방접종의 중요성질병관리청은 65세 이상 어르신, 생후 6개월 이상 면역 저하자, 감염 취약 시설에 입원하거나 입소한 이들이 고위험군에 해당한다고 밝혔습니다. 이들은 코로나19 감염 시 중증으로 발전..

이슈 2025.06.02

대상포진, 당신도 걸릴 수 있다! 통증과 수포의 경고 신호

대상포진, 누구에게나 일어날 수 있는 질병대상포진은 허리띠 모양의 수포가 생기는 질병으로, 한국에서의 발생률은 1000명당 10.4명에 달합니다. 특히 여성은 남성보다 1.5배 더 많이 걸리며, 평생 유병률은 약 30%에 이릅니다. 이는 3명 중 1명꼴로 대상포진에 걸릴 수 있다는 것을 의미합니다. 가톨릭대 대전성모병원의 김응돈 교수는 대상포진의 주요 위험군으로 50세 이상의 성인과 만성 질환을 앓고 있는 이들을 지목했습니다. 면역력이 약해지면 바이러스가 활성화되어 대상포진이 발생할 수 있습니다. 대상포진의 전조증상, 놓치지 마세요대상포진의 전조증상으로는 찌르는 듯한 통증과 가려움증이 있으며, 이는 피부 병변이 나타나기 전 2~3일에서 1주일까지 지속될 수 있습니다. 이 시기에는 진단이 어려운 경우..

이슈 2025.05.31

코로나 재유행 대비, 65세 이상 백신 접종이 필수입니다!

코로나19 재유행의 위협최근 아시아 지역에서 코로나19 확진자가 증가하고 있습니다. 특히, 홍콩, 중국, 태국 등에서의 감염 사례가 눈에 띄게 늘어나면서 국내에서도 재유행 가능성이 커지고 있습니다. 정부는 이를 대비하기 위해 65세 이상의 고위험군을 대상으로 백신 접종을 강화할 것을 권장하고 있습니다. 실제로 지난해 여름, 코로나19 확산으로 인해 입원 환자 수가 급증했던 사례를 고려할 때, 이번 여름에도 비슷한 상황이 재현될 수 있습니다. 따라서 고위험군에 대한 예방접종은 필수적입니다. 백신 접종 기간 연장정부는 코로나19 백신 접종 기간을 6월 30일까지 두 달 연장하였습니다. 이는 국내 환자 수가 본격적으로 증가하기 전에 미리 예방 조치를 취하겠다는 의지의 표현입니다. 보건당국은 예방접종을 통..

이슈 2025.05.31

중화권 코로나19 재확산, 홍콩에서의 심각한 상황

코로나19 재확산의 경과최근 중화권에서 코로나19가 다시 확산되고 있다는 소식이 전해졌습니다. 홍콩의 사우스차이나모닝포스트(SCMP)에 따르면, 홍콩 보건 당국은 지난 4주간 코로나19 관련 사망자가 30명에 이른다고 밝혔습니다. 이는 중증 성인 환자 81명 가운데 약 40%가 사망한 것으로, 코로나19의 위협이 여전히 존재한다는 것을 보여줍니다. 또한, 코로나 확진 비율은 지난달 6∼12일 6.21%에서 이달 4∼10일 13.66%로 급증했습니다. 이러한 통계는 보건 당국이 코로나19의 재확산에 대해 경각심을 가져야 한다는 메시지를 전달하고 있습니다. 어린이 확진자의 급증홍콩 공공병원 소아감염병 병동의 책임자는 최근 어린이 확진자가 급증하고 있다고 전했습니다. 그는 "전에는 코로나19 환자가 없었..

이슈 2025.05.17
반응형