사체 추출 성장 호르몬과 그 위험성
어린 시절 사체에서 추출한 성장 호르몬을 맞은 한 여성이 수십 년 후 치명적인 희귀병에 걸려 사망했습니다. 미네소타 대학교의 연구 결과에 따르면, 이 여성은 7세부터 범뇌하수체기능저하증 치료를 위해 9년간 성장 호르몬을 투여받았으며, 그 결과 신경학적 증상이 나타났습니다. 이 사례는 1960년대부터 1980년대까지 약 7700명의 미국 환자들이 비슷한 방식으로 치료를 받았다는 사실과 맞물려 있습니다. 당시의 의료 관행이 얼마나 위험할 수 있는지를 보여주는 사례입니다.

희귀병, 의인성 크로이츠펠트-야콥병(iCJD)
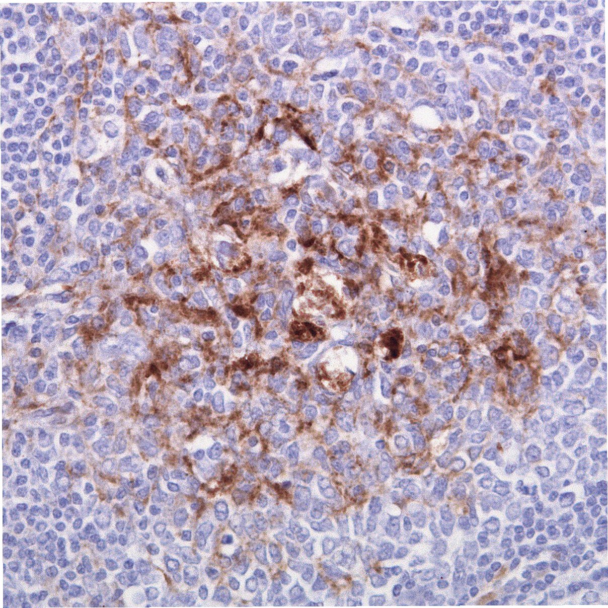
이 여성은 결국 의인성 크로이츠펠트-야콥병(iCJD)으로 진단받았습니다. iCJD는 뇌에 구멍이 뚫려 뇌 기능을 잃게 되는 퇴행성 신경성 질환으로, 현재까지 치료법이 없습니다. 이 질병은 사체에서 추출한 호르몬에 의한 프리온 단백질의 축적이 원인입니다. A씨는 MRI 검사에서 뇌 손상이 발견되었고, 이후 부검을 통해 확진을 받았습니다. 이처럼 사체 추출 호르몬이 가져올 수 있는 심각한 후유증에 대한 경각심이 필요합니다.

과거의 의료 관행, 현재의 경각심
과거에는 범뇌하수체기능저하증 환자에게 사체에서 추출한 성장 호르몬을 주사하는 것이 흔한 의료 관행이었습니다. 그러나 1985년, 미국에서 최초로 이와 관련된 iCJD 사례가 보고된 이후, 사체 추출 성장 호르몬의 생산과 투여가 중단되었습니다. 연구진은 과거에 chGH에 노출된 환자들에게는 반드시 iCJD 감별 진단을 받도록 권고하고 있습니다. 이는 과거의 잘못된 의료 관행이 현재에도 영향을 미치고 있음을 보여줍니다.

사망 사례의 의미와 앞으로의 방향
A씨의 사망은 단순한 개인의 불행이 아닙니다. 이는 과거 의료 관행의 위험성을 다시 한번 일깨우는 사례로, 환자들의 안전과 건강을 지키기 위한 정책적 변화가 필요함을 의미합니다. 특히, 현재에도 chGH에 노출된 환자들은 지속적인 모니터링이 필요하며, 이를 통해 새로운 사례를 예방할 수 있는 방법을 모색해야 합니다.

프리온 단백질과 뇌 건강
프리온 단백질은 세포 통신과 상호 작용에 필수적인 역할을 하지만, 이 단백질이 비정상적으로 축적될 경우 신경세포를 손상시킵니다. A씨의 사례와 같은 경우는 프리온 단백질의 위험성을 명확하게 보여줍니다. 따라서, 프리온 단백질과 관련된 질병에 대한 연구는 앞으로 더욱 중요한 주제가 될 것입니다.

치명적인 과거의 교훈, 미래를 위한 경각심!
사체에서 추출한 성장 호르몬이 가져온 비극적인 사례는 과거의 의료 관행이 현재까지 미치는 위험성을 일깨워줍니다. 환자 안전을 위한 지속적인 모니터링과 정책적 변화가 필요합니다.

독자들의 Q&A
Q.의인성 크로이츠펠트-야콥병(iCJD)란 무엇인가요?
A.iCJD는 변종 프리온에 의해 발생하는 치명적인 퇴행성 신경성 질환으로, 치료법이 없으며 발병하면 반드시 사망하게 됩니다.
Q.사체 추출 성장 호르몬의 위험성은 무엇인가요?
A.사체 추출 성장 호르몬은 프리온 단백질을 포함하고 있을 수 있으며, 이로 인해 신경계 질환이 발생할 수 있습니다.
Q.과거에 치료를 받은 사람들은 어떻게 해야 하나요?
A.과거에 사체 추출 성장 호르몬을 투여받은 환자들은 반드시 iCJD 감별 진단을 받아야 하며, 지속적인 건강 모니터링이 필요합니다.

'이슈' 카테고리의 다른 글
| 경산시 투표 독려 영상, 여성 폭력 장면 논란에 휘말리다 (0) | 2025.05.30 |
|---|---|
| 신촌 사전투표 논란, 선관위의 책임 통감과 향후 관리 방안 (1) | 2025.05.30 |
| 10년 전 샀더라면? 엔비디아의 폭등 비밀을 파헤쳐보자! (0) | 2025.05.29 |
| 안전을 위한 선택, 크보빵 생산 중단의 배경과 향후 계획 (0) | 2025.05.29 |
| 트럼프 상호관세 정책, 법원에서 위법 판결! 행정부는 즉시 항소 (0) | 2025.05.29 |