대상포진, 누구에게나 일어날 수 있는 질병
대상포진은 허리띠 모양의 수포가 생기는 질병으로, 한국에서의 발생률은 1000명당 10.4명에 달합니다. 특히 여성은 남성보다 1.5배 더 많이 걸리며, 평생 유병률은 약 30%에 이릅니다. 이는 3명 중 1명꼴로 대상포진에 걸릴 수 있다는 것을 의미합니다. 가톨릭대 대전성모병원의 김응돈 교수는 대상포진의 주요 위험군으로 50세 이상의 성인과 만성 질환을 앓고 있는 이들을 지목했습니다. 면역력이 약해지면 바이러스가 활성화되어 대상포진이 발생할 수 있습니다.

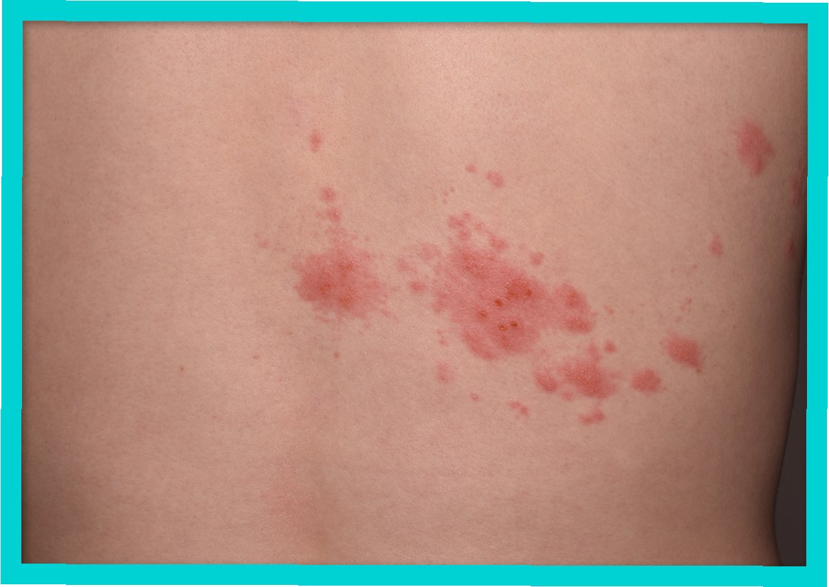
대상포진의 전조증상, 놓치지 마세요
대상포진의 전조증상으로는 찌르는 듯한 통증과 가려움증이 있으며, 이는 피부 병변이 나타나기 전 2~3일에서 1주일까지 지속될 수 있습니다. 이 시기에는 진단이 어려운 경우가 많습니다. 환자의 약 70~80%가 이러한 전구증상을 경험하며, 이후 피부에 띠 모양의 수포가 발생하게 됩니다. 시간이 지나면서 수포는 농포로 변하고, 결국 딱지가 앉게 되어 치유됩니다.

대상포진의 전염 방식과 예방 조치
대상포진은 기침이나 재채기를 통해 전염되지 않지만, 수포 내 바이러스가 다른 사람의 점막을 통해 감염될 수 있습니다. 특히 영유아와 임산부, 면역 저하자와의 접촉은 피하는 것이 좋습니다. 예방접종은 매우 효과적이며, 최신 유전자 재조합 백신은 평균 95%의 예방률을 보입니다. 50세 이상의 성인에게 접종이 권장됩니다.

치료의 골든타임, 72시간 내에 시작해야
대상포진의 치료는 초기에 항바이러스제를 투여하는 것이 가장 중요합니다. 수포 발생 72시간 이내에 치료를 시작해야 신경 손상을 예방할 수 있습니다. 지속적인 통증 신호를 방치하면 신경계 변성이 발생할 수 있으며, 이는 회복이 어려운 문제로 이어질 수 있습니다. 따라서 통증 조절을 위한 약물 요법과 신경 치료가 필수적입니다.

대상포진 후유증과 통증 관리
대상포진의 후유증 중 가장 대표적인 것은 대상포진 후 신경통입니다. 이는 피부가 완치된 후에도 통증이 지속되는 상태를 의미하며, 보통 피부병변 발생 후 3개월이 지나면 후 신경통으로 판단됩니다. 통증 관리가 중요하며, 만성 신경통 환자는 지속적인 약물 복용과 함께 삶의 질을 유지할 수 있습니다.

대상포진, 예방과 조기 치료가 핵심!
대상포진은 누구에게나 발생할 수 있는 질병으로, 조기 치료와 예방이 매우 중요합니다. 전조증상을 인지하고, 예방접종을 통해 건강을 지키세요.

많은 분들이 물어보셨습니다
Q.대상포진은 어떻게 예방하나요?
A.대상포진 예방을 위해 유전자 재조합 백신 접종이 권장됩니다. 50세 이상 성인과 면역 저하자에게 효과적입니다.
Q.대상포진의 전염성은 어떤가요?
A.대상포진은 수포 내 바이러스가 다른 사람의 점막을 통해 전염될 수 있으나, 기침이나 재채기를 통해 전염되지는 않습니다.
Q.대상포진 치료는 어떻게 진행되나요?
A.대상포진 치료는 수포 발생 72시간 이내에 항바이러스제를 투여하는 것이 중요하며, 지속적인 통증 관리도 필요합니다.

'이슈' 카테고리의 다른 글
| 학교에서 발생한 충격적인 사건: 중학생의 폭력, 교사의 갈비뼈 골절 (0) | 2025.05.31 |
|---|---|
| 중국인 관광객의 변화, 소비 트렌드의 이면 (0) | 2025.05.31 |
| 당뇨 환자에게 효과적인 김, 자취생의 간편한 건강식으로 주목받다! (0) | 2025.05.31 |
| 상간녀의 신음소리 녹음, 법적 보호를 받지 못한 이유는? (0) | 2025.05.31 |
| 의료수가 인상! 내년 진료비와 건강보험료도 오른다 (0) | 2025.05.31 |